据加拿大健康资讯研究所数据统计,加拿大一名新冠肺炎病人每次住院的平均成本是2.3万元。
根据新冠肺炎住院及紧急部门统计,2019-2020及2020-2021所推算的数字,新冠肺炎病人是一般病人住院成本6,000元的大约4倍。

大约一半以上的病人入院后需要接受较深切护理,当中约六成需要氧气器帮助。
除魁省外,全加拿大诊断出新冠肺炎病人约接近14,000次住院,令该段期间估计涉及新冠肺炎住院开支上升至3.17亿元。
至于那些不需要深切治疗护理的病人,成本维持在15,000元。
但这只包括医疗费用,不包括医生的诊金。

其实就算治疗好了,也会有很多后遗症的....
随着越来越多对于新冠病毒的研究表明,新冠病毒绝不是简单的“大号”感冒那么简单,不少病人在痊愈后的很长时间内,依然还会有一些后遗症,没有恢复到最初的健康。
没保险真的生不起病!
Elizabeth Qin 专业的保险理财顾问
联系时,备注【约克论坛】免费咨询


新冠后遗症
1. 大多数患者出院6个月后还没有完全康复。76%的患者在发病6个月后仍有至少一个症状。
2. 患者最普遍感受是疲劳、浑身无力。63%的患者出现疲劳或肌肉无力,26%的患者报告有睡眠障碍,23%的患者报告出现焦虑或抑郁。
3. 康复的患者有再次感染患病的可能性。与急性期相比,发病6个月时新冠抗体的水平下降明显。
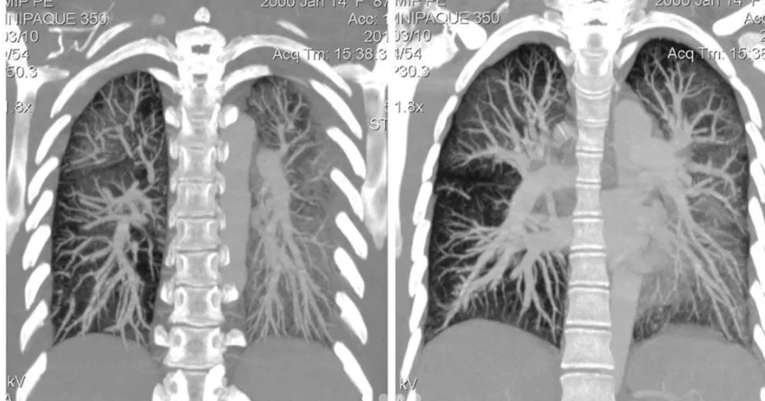
4. 重症患者6个月后肺功能还没有完全恢复。在发病6个月后,住院时病情更重的患者更可能呈现肺功能下降和胸部影像学异常。
5. 新冠除了肺部,还会攻击其他器官。我们知道新冠病毒进入人体后主要攻击肺部,但越来越多的研究证据表明,除了肺部,身体的其他部位也受到伤害。

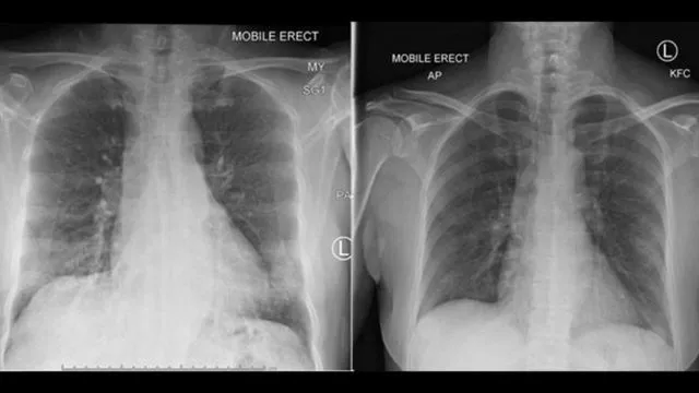
“白肺”,这个经常出现在“新冠肺炎”疫情中的词语,其实这个是指在X光检查下肺部显影呈大片白色状。出现“白肺”,一般意味着肺部有严重感染。
其实,新型冠状病毒肺炎的患者胸部CT或胸片不都是“白肺”,在患病初期,双肺的CT显示正常,但随着疾病发展,若没有得到治疗,肺部便会出现病变加重,也就是俗称“磨玻璃”影。

人的肺就像是二个气囊,在X线下照射,因为密度低,X光穿透性较好,所以在片子上显示是黑色的,“白肺”则是肺部出现严重感染后,肺部充血,渗出及炎性细胞浸润,
密度变高,这才导致双肺X光穿透性较差。

不要认为有疫苗,疫情常态化了,口罩可以随意摘取了~
人多的地方可以随意去了。
对于新冠病毒,我们保护好自己最好的方式就是严格的做好个人防护,戴好口罩勤洗手、人多的地方要少去,不给国家防疫添乱。